Life Changing Dentistry

Cosmetic Dentistry

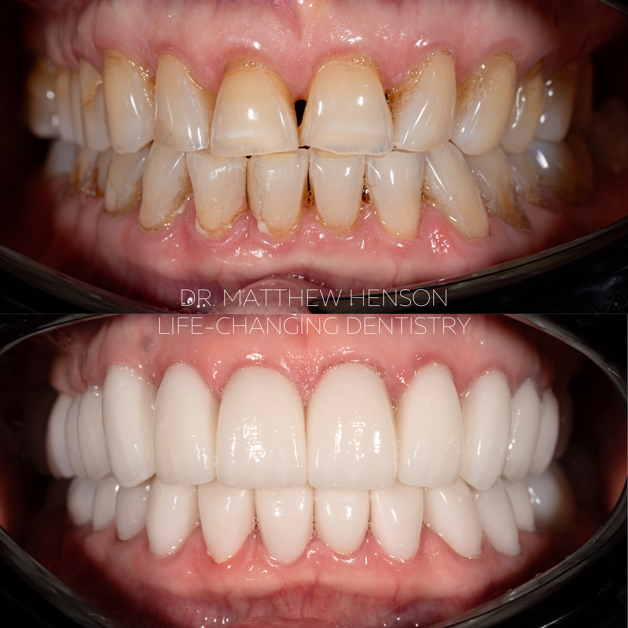
Using advanced cosmetic dental treatments, technology, and materials, your Kenner, LA Cosmetic Dentist, Dr. Henson, can make a real difference. The skill, experience, and commitment of our practice — using a unique combination of science and artistry — can literally redesign your smile.

Even a subtle change in your smile helps you to project an image of self-confidence and high personal esteem. When you feel good about yourself, it shows in your appearance.

Learn more

Dr. Matthew Henson, DDS

Dr. Matthew Henson is a proud, passionate, and enthusiastic dentist dedicated to changing lives through dentistry. Dr. Henson considers his craft of dentistry the ultimate palette on which to create life changing works of dental art. Dr. Henson is a caring individual who is passionate about creating a comfortable dental experience for people of all identities–smiling all the while.

Dr. Henson brings all of his knowledge, kindness, passion, and talent to his patients, using the latest technology and techniques to artistically transform smiles. He enjoys spending time in his beloved city of New Orleans and immersing in its arts, food, and culture.

LEARN MORE

Smile Gallery

DENTAL TREATMENTS

01

02

Full Mouth Restoration


Veneers


03

Invisalign - Smile Simulator


04

& More


LEARN MORE

Reviews


“My smile has never been better”

— PATIENT

Get Started Today

Book a virtual consultation